Hornhinnesår hos häst
 
        Hornhinnesår är en av de mest allvarliga ögonsjukdomar som kan drabba häst. Ett till synes ytligt, okomplicerat sår som i normalfallet läker snabbt, kan riskera att utvecklas till ett djupt komplicerat sår om inte rätt behandling påbörjas i tid. Av okänd anledning är djurslaget häst mer benäget än andra att drabbas av komplikationer till läkning av hornhinnesår, såsom infektioner och så kallad smältning. Behandling kan då bli långvarig och mycket kostsam.
Komplikationer kan också kräva operation för att skadan ska kunna läka. Det finns vid komplikationer även en ökad risk för permanent synnedsättning eller till och med ökad risk för att ögat kan behöva opereras bort. Det är därför viktigt att djurägare alltid kontaktar veterinär snarast om hästen visar något av nedanstående kliniska tecken som kan tyda på hornhinnesår:
- blefarospasm (kniper med ögat)
- svullet och rött öga
- ökat tårflöde
- ljuskänslighet
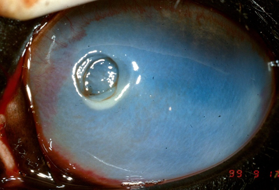
- färgförändringar i ögat (dimmigt, grått, rött eller gröngult)
Du hittar ytterligare information om hornhinnesår hos häst nedanför bildspelet.
Vilka orsaker finns till hornhinnesår?
Hornhinnesår kan drabba hästar av alla raser och åldrar. Den vanligaste orsaken är till följd av mekanisk retning av ögat, såsom slag mot ögat (trauma), så kallade främmande kroppar (t ex tisteltaggar), felväxande ögonhår eller liknande. Sår kan också uppstå sekundärt till annan sjukdom, till exempel hos föl som är sjuka efter födseln och som inte ännu har utvecklat normala skydds- och blinkreflexer, samt hos hästar med neurologisk sjukdom som till följd av detta inte kan blinka normalt och skydda samt fukta ögat. Det finns också en särskild sorts hornhinnesår, så kallade indolenta sår (andra benämningar är "boxerulcus" eller SCCEDs=spontaneous chronic corneal epithelial defects) som företrädesvis drabbar medelålders till äldre hästar. En riskfaktor för att utveckla indolenta sår är ämnesomsättningssjukdomen PPID (pituitary pars intermedia dysfunction). Eosinofil inflammation i hornhinnan är ett specialfall av hornhinnesår som framförallt förekommer under sommarmånaderna, och som behöver behandlas på annat sätt än andra sår. Infektion (bakterier, virus, svamp, parasiter) som primär grundorsak till att ett hornhinnesår uppkommer är ovanligt, även om det i mycket sällsynta fall förekommer. Däremot är det inte ovanligt med sekundära infektioner efter att hästen drabbats av ett hornhinnesår av annan orsak såsom till exempel trauma, eftersom den yttre skyddsbarriären då inte längre är intakt.
Vilka komplikationer kan uppstå?
Hornhinnan byggs upp av flera lager (se bildspel), ytterst ett flerskiktat cellager (epitel), i mitten det tjockaste lagret (stroma) som framför allt byggs upp av proteiner, i botten ett mycket tunt elastiskt lager (Descemets membran) samt längst in ett enskiktat cellager (endotel). Vid ett hornhinnesår så är den yttre skyddsbarriären (epitelet och varierande mängd av stroma) skadad och det medför ökad risk för att bakterier eller svamp kan komma åt och infektera ögats strukturer. Infektion medför ökad risk för att såret inte läker, ärrbildning, och också för att såret fördjupas och blir större. Vid hornhinnesår, särskilt de som blivit infekterade med bakterier eller svamp, så kan en nedbrytande process av hornhinnans mellanlager starta, så kallad smältning. Kroppsegna enzymer från tårfilm, skadade och inflammatoriska celler, samt även från infekterande bakterier eller svamp, bryter då ner proteinerna i hornhinnan vilket gör att den blir lös och rinnig som tunn gelé. Såret blir då allt större och djupare, och om smältningen inte stoppas så kommer ögat till slut att gå sönder (perforera). En smältande process är alltid mycket akut, hela hornhinnan kan smälta ner på bara några timmar om inte rätt behandling påbörjas och ibland kan operation vara nödvändig.
Vid en skada på hornhinnan initieras samtidigt alltid en inflammation inuti ögat (regnbågshinneinflammation=uveit). Om denna inte behandlas korrekt så kan den ge kroniska problem och synnedsättning (se även länken om uveit).
Hur diagnostiseras hornhinnesår?
Vanligen behöver hästen sederas (få lugnande) och eventuellt få en bedövning av ögonlocken för att veterinären ska kunna undersöka ögat noggrant. Veterinären kommer sedan att genomföra en noggrann undersökning av båda ögonen, inklusive färgning med en färg (fluorescein) för att påvisa ett eventuellt hornhinnesår. Vid skador i hornhinnan så kommer färgen att fästa in i såret med ett klart grönt sken. Veterinären kommer också att bedöma sårets djup och leta efter potentiella orsaker till sårets uppkomst (till exempel kvarvarande främmande kroppar), samt också leta efter tecken på infektion eller begynnande smältning. Ytliga hornhinnesår som nyligen uppstått läker ofta mycket snabbt vid korrekt insatt behandling. Om såret är djupare, eller om det finns tecken på tillstötande infektion eller smältning, så behöver veterinären ta kompletterande prover såsom till exempel cellprov från såret (cytologi) och/eller en bakteriell odling för att kunna rikta behandlingen. Veterinären kommer också alltid att leta efter tecken på inflammation inuti ögat (uveit) vid undersökningen.
Hur behandlas hornhinnesår?
Målet med behandlingen är att undanröja eventuell orsak till såret (till exempel förekomst av främmande kropp), ge smärtlindring samt minska risk för sekundära komplikationer såsom infektion, smältning och uveit.
Ytliga, okomplicerade sår
Ytliga, okomplicerade sår kan oftast behandlas hemma i stallet. Lokalbehandling med antibiotika påbörjas förebyggande för att minska risk för att infektion tillstöter. Smörjande tårersättning eller serum kan ibland också vara en del i den stödjande behandlingen för läkning och komfort. Den sekundära uveiten behandlas vanligen med pupillvidgande atropin (ögondroppar) samt anti-inflammatorisk allmänbehandling (vanligen i fodret eller via munnen). Under läkningen ska ögat skyddas från skarpt ljus och en huva kan vara lämplig att använda vid utevistelse i hage. Daglig motion är viktig för att minska risk för förstoppning och kolik då minskad aktivitet/boxvistelse kan öka risken för detta.
Djupa sår eller tecken på komplikationer
Vid djupare sår eller tecken på infektion eller smältning måste behandlingsplanen vara mycket aggressiv för att nå resultat. Det är viktigt att rätt antibiotika ges, ofta i hög frekvens för att nå tillräcklig koncentration. Vid smältning ges även substanser som hämmar den smältande processen (serum och/eller EDTA-droppar). Medicinerna kan behöva ges så ofta som varje timma för att få tillräcklig effekt. Det kan då vara nödvändigt att skriva in hästen på klinik för frekvent behandling och övervakning. En ögonkateter för medicinering kan vara ett mycket bra hjälpmedel för att säkerställa att tillräckligt mycket medicin når ögat. Vid mycket djupa skador, omfattande smältning eller perforationer så kan operation i allmän narkos bli nödvändig för att stabilisera såret och möjliggöra läkning. Prognosen för läkning eller bevarande av syn kan i vissa fall vara så dålig att det är bättre att istället operera bort ögat.
Specialvarianter; Indolenta sår (SCCEDs)
Om ett ytligt sår inte läker trots behandling, och det inte finns tecken på kronisk retning eller infektion, så kan orsaken vara ett så kallat indolent sår. Hornhinnans ytskikt (epitelet) växer då in över såret, men kan inte fästa in korrekt mot underlaget (stromat) utan flyter löst på ytan. Den exakta mekanismen för hur denna störning i sårläkningen uppstår är inte helt känd. Behandlingen består i att allt det lösa ytskiktet avlägsnas med tops. För att stimulera läkning ytterligare kan det också bli aktuellt att rista sårbädden med en nål eller att slipa ytan med en diamantborr. Båda dessa kirurgiska alternativ kan i många fall göras av erfaren veterinär på stående häst som fått lugnande och bedövning. I många fall läker såret efter dessa åtgärder. I vissa fall kan åtgärderna behöva upprepas både en och två gånger med ett par veckors intervall innan såret till slut läker. I vissa fall kan operation i allmän narkos bli nödvändig.
Specialvarianter; Eosinofila sår
Dessa är en speciell typ av sår som framför allt förekommer under sommar och tidig höst (juli-september). Såren är (åtminstone till en början) vanligen ytliga och täcks ofta av torra gulvita plaque på ytan. Tårflödet kan vara grynigt och kesoliknande. Cellprov visar på en särskild sorts inflammatoriska celler, så kallade eosinofiler. Det är okänt varför den inflammatoriska reaktionen startar, men allergisk överkänslighetsreaktion och/eller parasitinfektion har diskuterats som orsaker. Denna typ av sår kan ofta kräva lokalbehandling med kortison för att dämpa den inflammatoriska reaktionen, något som annars inte är lämpligt vid hornhinnesår då kortisonbehandling lokalt vanligen medför stor risk för komplikationer såsom infektion och smältning. Behandlingsplanen vid eosinofila sår ska alltid baseras på relevant provtagning, och en eventuell komplicerande infektion måste alltid behandlas bort först. En individuellt justerad behandlingsplan innehållande lokalbehandling med kortison kan sedan krävas under en tidsperiod, samtidigt som förebyggande behandling mot ny infektion vanligen pågår. Vid minsta tecken på komplikation till sårläkningen måste behandlingsplanen justeras. Vanligen rekommenderas också avmaskning samt flughuva och flugkontroll, eventuellt också innevistelse under de perioder på dygnet då insekter kan vara som mest besvärliga. I vissa fall kan allergimedicin ges (anti-histaminer) men det är oklart om detta har någon effekt. Denna typ av sår kan ta mycket lång tid att läka (2-8 månader, i snitt 4 månaders läkningstid). Ibland kan förloppet förkortas genom att operera och göra så kallad keratektomi under allmän narkos. De defekta områdena av hornhinnan avlägsnas då kirurgisk och frisk hornhinna får möjlighet att växa in.
Länkar
Bok
Gilger BC. Equine ophthalmology. 3rd ed. Ames, Iowa: Wiley-Blackwell; 2017.
Vetenskapliga artiklar
Corneal Response to Injury and Infection in the Horse. Plummer CE. Vet Clin North Am Equine Pract. 2017;33(3):439-463.
Treatment of nonhealing corneal ulcers in 60 horses with diamond burr debridement (2010-2013). Lassaline-Utter M, Cutler TJ, Michau TM, Nunnery CM. Vet Ophthalmol. 2014;17 Suppl 1:76-81.
Grid keratotomy as a treatment for superficial nonhealing corneal ulcers in 10 horses. Brunott A, Boeve MH, Velden MA. Vet Ophthalmol. 2007;10(3):162-167.
Equine eosinophilic keratitis in horses: 28 cases (2003-2013). Edwards S, Clode AB, Gilger BC. Clin Case Rep. 2015;3(12):1000-1006.
Equine eosinophilic keratoconjunctivitis in California: retrospective study of 47 eyes from 29 cases (1993-2017). Knickelbein KE, Luethy D, Thomasy SM, Reilly C, Strom AR, Lassaline ME. Vet Ophthalmol. 2019;22(4):510-519.
Eosinophilic keratitis in 46 eyes of 27 horses in the Mid-Atlantic United States (2008-2012). Lassaline-Utter M, Miller C, Wotman KL. Vet Ophthalmol. 2014;17(5):311-320.
 
         
         
         
         
         
        